症例
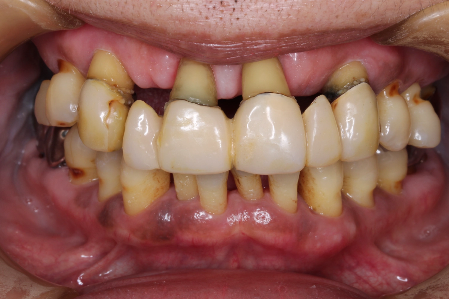
インプラント症例
インプラント 01
治療前
治療後
| 主訴 | 入れ歯が合わないのでインプラントにしたい |
|---|---|
| 治療期間 | 8ヶ月 |
| 治療費 | 3,000,000円 |
| 治療内容 | 上顎にインプラント6本施術後ジルコニアブリッジにて修復。下顎は入れ歯。 |
| 治療のリスク | 術後の痛み 腫れ |
インプラント 02
治療前
治療後
| 主訴 | 前歯にひびが入っている |
|---|---|
| 治療期間 | 10ヶ月 |
| 治療費 | 500,000円 |
| 治療内容 | 前歯が折れていたため抜歯後インプラント治療を行なった症例。 |
| 治療のリスク | 術後の痛み、腫れ 歯肉の退縮 |
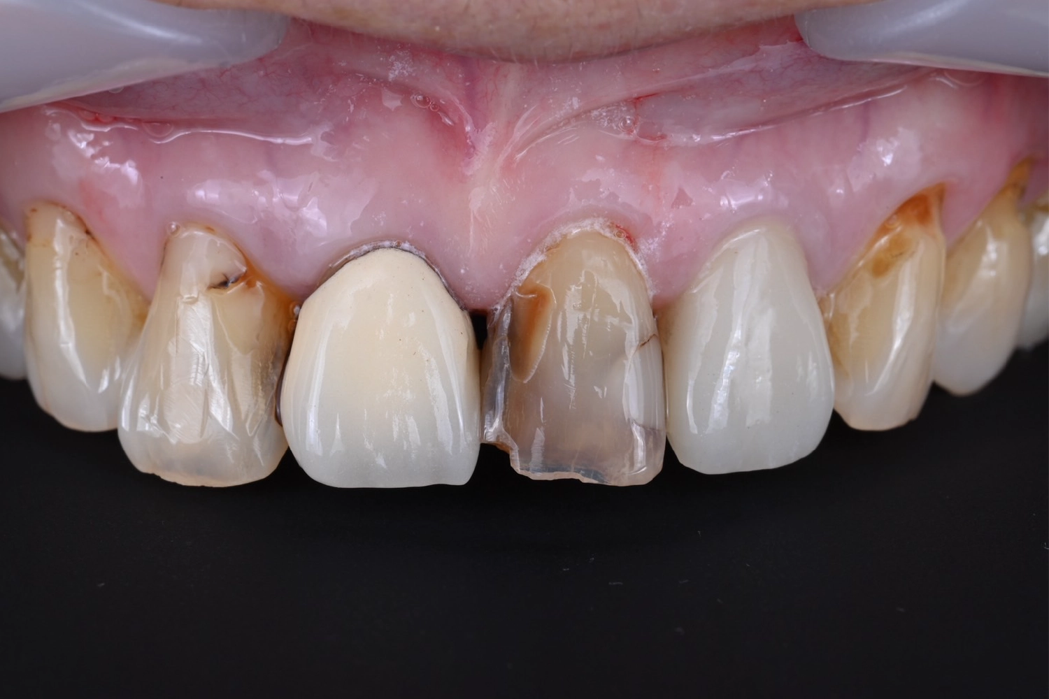
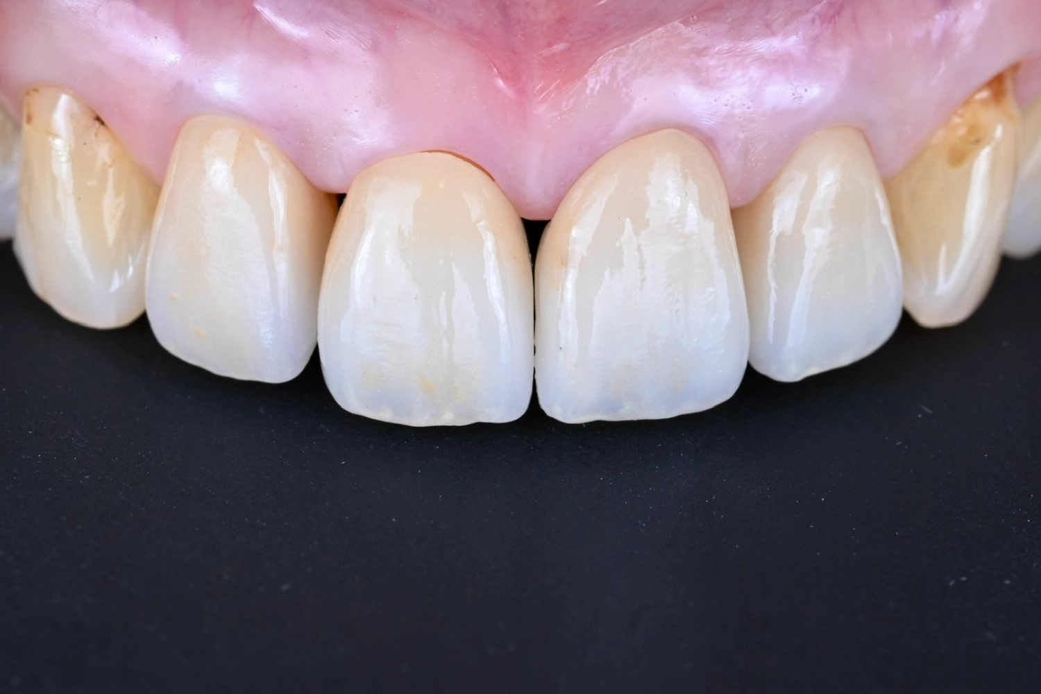
インプラント 03
治療前
治療後
| 主訴 | 前歯がグラグラ |
|---|---|
| 治療期間 | 6ヶ月 |
| 治療費 | 1,738,000円 |
| 治療内容 | 保存不可の前歯を抜歯後、骨造成手術及びインプラント治療を行い審美性と機能性の優れた補綴治療を行なった症例。 |
| 治療のリスク | 術後の痛み、腫れ 歯肉退縮 |
矯正治療 症例
マウスピース矯正 01
治療前
治療後
| 主訴 | 歯並びを治したい |
|---|---|
| 治療期間 | 1年 |
| 治療費 | 880,000円 |
| 治療内容 | マウスピース矯正(インビザライン)にて矯正治療を行なった。 |
| 治療のリスク | 矯正治療中の痛み 腫れ 歯肉退縮 |
マウスピース矯正 02
治療前
治療後
| 主訴 | 歯並びを治したい |
|---|---|
| 治療期間 | 1年3ヶ月 |
| 治療費 | 880,000円 |
| 治療内容 | マウスピース矯正(インビザライン)にて矯正治療を行なった。 |
| 治療のリスク | 矯正治療中の痛み 腫れ 歯肉退縮 歯根吸収 |
マウスピース矯正 03
治療前
治療後
| 主訴 | 八重歯が気になる |
|---|---|
| 治療期間 | 2年 |
| 治療費 | 880,000円 |
| 治療内容 | インビザライン(マウスピース矯正)にて矯正治療を行なった。 |
| 治療のリスク | 痛み、腫れ、歯肉退縮、歯根吸収、虫歯、歯肉炎 |
マウスピース矯正 04
治療前
治療後
| 主訴 | 前歯の歯並び治したい |
|---|---|
| 治療期間 | 1年8ヶ月 |
| 治療費 | 880,000円 |
| 治療内容 | インビザライン(マウスピース矯正)にて矯正治療を行なった。 |
| 治療のリスク | 痛み、腫れ、歯肉退縮、歯根吸収、虫歯、歯肉炎 |
マウスピース矯正 05
治療前
治療後
| 主訴 | 前歯で噛めない |
|---|---|
| 治療期間 | 1年 |
| 治療費 | 880,000円 |
| 治療内容 | 開咬に対してインビザライン(マウスピース矯正)にて矯正治療を行なった。 |
| 治療のリスク | 痛み、腫れ、歯肉退縮、歯根吸収、虫歯、歯肉炎 |
ワイヤー矯正 06
治療前
治療後
| 主訴 | ガタガタが気になる |
|---|---|
| 治療期間 | 2年 |
| 治療費 | 880,000円 |
| 治療内容 | ワイヤー矯正(マルチブラケット)にて矯正治療を行なった。 |
| 治療のリスク | 痛み、腫れ、歯肉退縮、歯根吸収、虫歯、歯肉炎 |
審美・セラミック治療
症例
審美治療 01
治療前
治療後
| 主訴 | 虫歯 |
|---|---|
| 治療期間 | 1日 |
| 治療費 | 1歯30,000円 |
| 治療内容 | 虫歯を取り除きラバーダム下にてコンポジットレジンを充填。 |
| 治療のリスク | 術後の痛み |
審美治療 02
治療前
治療後
| 主訴 | 左の2番目の歯が短くて色が悪い |
|---|---|
| 治療期間 | 1日 |
| 治療費 | 50,000円 |
| 治療内容 | 左上2番目の歯にコンポジットレジンを直接貼り付けた。 |
| 治療のリスク | 術後の痛み レジンの脱離 |
審美治療 03
治療前
治療後
| 主訴 | 銀歯を白くしたい |
|---|---|
| 治療期間 | 1日 |
| 治療費 | 33,000円 |
| 治療内容 | 古い銀歯を外してコンポジットレジンにて充填しました |
| 治療のリスク | 術後の痛み 咬合不良 |
セラミック治療 01
治療前
治療後
| 主訴 | 銀歯が虫歯になった |
|---|---|
| 治療期間 | 2週間 |
| 治療費 | 55,000円 |
| 治療内容 | 銀歯を取り除き中の虫歯を除去後、セラミックにて修復。 |
| 治療のリスク | 術後の痛み しみる |
セラミック治療 02
治療前
治療後
| 主訴 | 銀歯を白くしたい |
|---|---|
| 治療期間 | 6ヶ月 |
| 治療費 | 1歯99,000円 |
| 治療内容 | 銀歯を除去後、セラミックにて修復。 |
| 治療のリスク | 術後の痛み 腫れ しみる |
セラミック治療 03
治療前
治療後
| 主訴 | 前歯を綺麗にしたい |
|---|---|
| 治療期間 | 3ヶ月 |
| 治療費 | 528,000円 |
| 治療内容 | 前歯をジルコニアセラミックにて治療。 |
| 治療のリスク | 術後の歯肉退縮、痛み |

