矯正認定ドクター在籍
選べる豊富なプラン
こんなお悩みはありませんか?
- 歯並びにコンプレックスがあり
思いっきり笑えない - 歯並びが気になるけれど
矯正装置が目立ってしまわないか心配 - 矯正装置を気にせずに
食事を楽しみたい - 矯正治療に興味はあるけど
予算が心配で踏み切れない - 矯正治療は痛いのではないかと心配
- 仕事や学校が忙しくて
頻繁に通院できない - 金属アレルギーがあるので不安
矯正をお考えの方は
お気軽にご相談ください
- カウンセリング
- 精密検査
- 簡易診断
- お気軽にお問い合わせください
-
お気軽にご予約・ご相談ください
電話で予約する
-
24時間WEB予約受付中
WEBで予約する
お電話・WEBにてご相談のご予約を受け付けています。
お気軽にお問い合わせください。
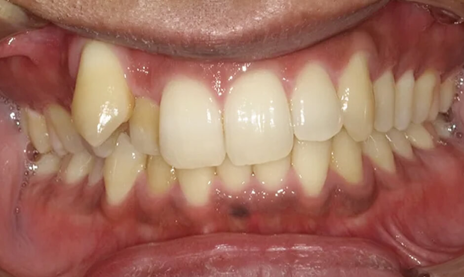
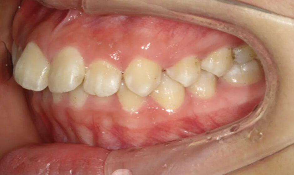
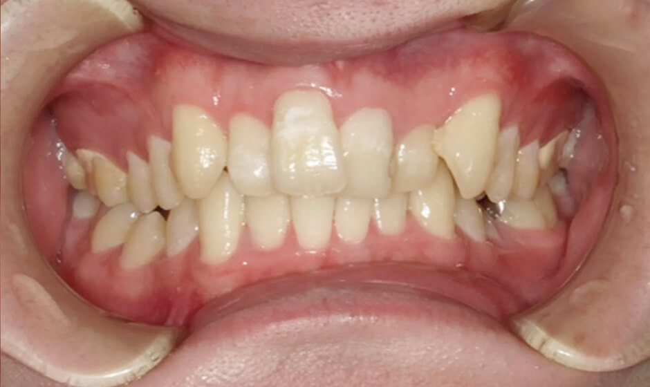
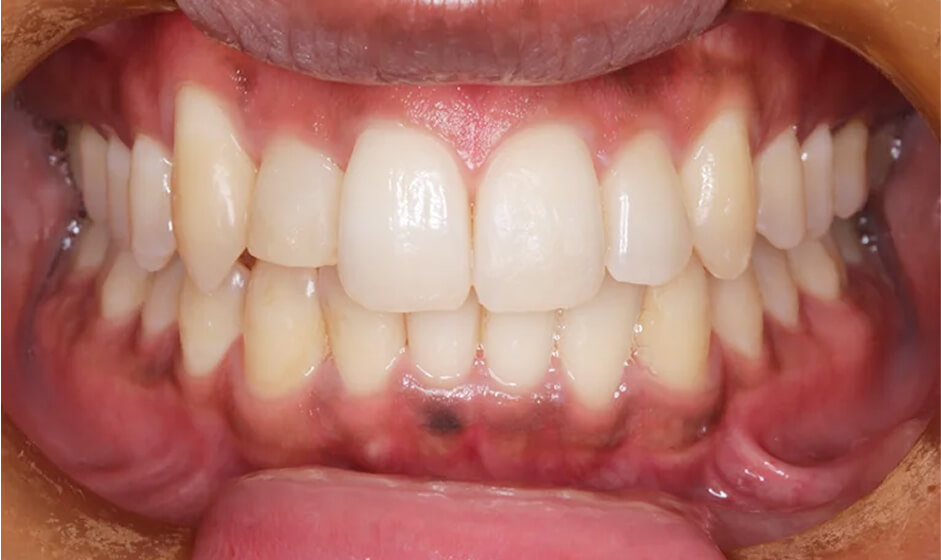
CASE
当院の症例紹介
FEATURES
当院の矯正治療
FEATURE 01.
「レッドダイヤモンド」
認定医院在籍ドクターによる
矯正治療
インビザラインの症例実績が豊富な歯科医院に与えられる「レッドダイヤモンド」に認定された医院に在籍するドクターが矯正治療を担当。豊富な症例経験をもとに、患者さま一人ひとりに適した治療計画をご提案します。
FEATURE 02.
矯正専門ドクター
インビザライン認定医在籍
インビザライン認定医は、インビザライン治療において専門的な知識と技術を有することが認められた歯科医師に与えられる資格です。
認定を受けるには、一定数以上の症例実績や所定の研修・講習の修了が必要であり、インビザライン治療に精通している証でもあります。
FEATURE 03.
40代からの矯正治療の
実績多数
40代からの矯正治療は、歯ぐきや骨の状態などを考慮した丁寧な診断と治療計画が重要です。
当院では、これまで多数の症例実績をもとに、年齢やお口の状態に合わせた無理のないインビザライン治療をご提案しております。見た目の改善だけでなく、将来的なお口の健康まで見据えた矯正治療をご提供しています。
FEATURE 04.
充実した最新鋭の設備
当院では、歯科用CTやお口の中をスキャンできるデジタル機器(iTero)を使って、より正確で詳しい検査が可能です。立体的なデータで、目に見えない部分までしっかり確認できます。
FEATURE 05.
マウスピースが難しい症例でも
その他の矯正治療が可能
他院だと断られてしまうような難しい歯並びもマウスピース矯正やその他の矯正治療にて対応することが可能です。
FEATURE 06.
カウンセリングには
じっくり時間をとります
患者様とのカウンセリングには1時間ほど時間をかけてじっくりとお話を聞いています。
お口周りのお悩みはもちろん、治療への不安や治療費に関するご相談など、どんなことでもかまいませんのでカウンセリングの際にはお気軽にお伝えください。
FEATURE 07.
忙しい方も通院しやすい環境
精度の高い矯正治療を行うためには事前の正確な診断が大切です。
当院では、歯科用CTやセファロによる正確な画像診断を行っております。
-
土日診療
-
夜19時まで診療
-
駐車場150台
COMPARISON
矯正装置の比較
マウスピース矯正と
他の矯正装置の違いは?
| マウスピース矯正 | ワイヤー矯正(表) | ワイヤー矯正(裏) | |
|
|
|
|
| 目立ちにくさ |
◎ 薄く透明なマウスピースは |
▲ 白色や透明のワイヤーを使うと |
◎ 歯の裏側にワイヤーを装着する |
| 対応できる 症例の幅 |
○ 歯並びの状態によって |
◎ ほとんどの歯並びに |
◎ ほとんどの歯並びに |
| 取り外し |
◎ 自分で簡単に取り外しできる |
× 自分で取り外しできない |
× 自分で取り外しできない |
| 金属アレルギー |
◎ 金属不使用なので心配不要 |
△ 金属製装置を使用すると |
× 金属製装置を使用するため、 |
| 痛み |
◎ 痛みや違和感が少ない |
○ 痛みや違和感を伴う場合がある |
▲ 舌に痛みや違和感を伴う場合が |
| 通院の間隔 |
1~3ヵ月に1回 |
月に1回 |
月に1回 |
| 治療費 |
ワイヤー矯正と大差無し |
マウスピース矯正と大差無し |
他の矯正方法と比較すると高い |
MOUTHPIECE
マウスピース型矯正装置
(インビザライン)について
歯並びのさまざまな悩みに
お応えするマウスピース矯正
それがインビザラインです!
インビザラインによる矯正治療では、マウスピース型の矯正装置を使用します。この透明な装置は目立ちにくく、見た目を気にする方でも始めやすい治療法です。
歯並びを整えるために抜歯が必要な方や、大きく歯を動かす必要がある場合にも対応できるのが特徴です。インビザラインは世界各国で広く使用されており、2024年3月時点で1,500万人以上の実績があります。
MERIT
マウスピース型矯正装置
(インビザライン)が
多くの患者様に選ばれている理由
-

01 目立ちにくい
透明なプラスチック製のマウスピースは、装着中でも目立ちにくいのが特徴です。矯正していることを周りに知られたくない方や、人前で話す機会が多い方におすすめです。
-

02 装置が取り外せる
必要な時には、患者さんご自身でマウスピースを取り外すことができます。普段通りに食事を楽しめる上、歯磨きもきちんとできるので、むし歯や歯周病のリスクを軽減できます。
-

03 出費を抑えられる
マウスピース矯正は、ワイヤー矯正と比べて定期通院の間隔が長く、回数も少なくて済むのが特徴です。通院や装置の調整にかかる手間や費用を軽減できる点もメリットです。
-

04 治療期間が短い
歯並びの乱れが比較的軽い場合、短期間で治療が完了することもあります。マウスピース矯正で歯並びが整うかどうかなど、気になる点はぜひお気軽にご相談ください。
-

05 痛みや違和感が少ない
マウスピースは薄く柔らかいプラスチック素材で作られており、口内を傷つける心配がありません。また、違和感が少なく、痛みに敏感な方にも適しています。
-

06 金属アレルギーの
心配がないマウスピースはプラスチック製で、金属を使用していないため、金属アレルギーの方でも安心してご使用いただけます。
さまざまな歯並びの乱れに対応できます
インビザラインは世界各国でさまざまな状態の歯並び改善に使用されてきた
豊富な実績がありますので、幅広い歯並びや噛み合わせに柔軟に対応できます。
-
ガタガタ
-
出っ歯
-
下顎が出ている
-
すきっ歯
-
噛み合わせの
ズレ -
噛み合わせが
深い -
口が閉じない
矯正をお考えの方は
お気軽にご相談ください
- カウンセリング
- 精密検査
- 簡易診断
- お気軽にお問い合わせください
-
お気軽にご予約・ご相談ください
電話で予約する
-
24時間WEB予約受付中
WEBで予約する
お電話・WEBにてご相談のご予約を受け付けています。
お気軽にお問い合わせください。
FLOW
マウスピース矯正の流れ
-
1
無料カウンセリング
歯並びにお悩みの方や矯正治療を検討している方は、まずお気軽に無料相談をご利用ください。矯正治療に詳しい歯科医師やコンサルタントが丁寧に説明し、さまざまな質問にお答えします。また、治療にかかる期間や費用などをご説明いたします。
-
2
精密検査
診療計画の作成に必要な情報を収集するため、精密検査を実施します。パノラマレントゲンや頭部専用のセファロレントゲン、短時間で精密な型取りができる口腔内スキャナーなどの先端機器を使用して、患者さんの状態を詳細に把握します。その後、治療の開始から終了までを緻密にシミュレーションします。
- レントゲン診断
- 口腔内スキャン
- 口腔内診査
-
3
診療・治療計画の説明
必要な治療内容や計画について丁寧にご説明いたします。治療にご理解をいただきましたら矯正治療を開始します。1ヵ月に1度を目安にご来院いただき、装置やお口の状態を確認します。予防矯正の場合は、アクティビティルームで一緒にトレーニングを行い、理想的な歯並びを目指します。
-
4
治療開始
カウンセリングの内容と精密検査の結果をもとに、インビザライン認定医の資格を持つ歯科医師が治療計画を作成します。患者さんへの説明の際には、治療期間や費用についてもできるだけわかりやすく丁寧に説明しますので、ご不明点や気になることがあれば、遠慮なくお尋ねください。
-
5
保定期間
矯正治療で移動した歯は、時間が経つと後戻りする可能性があります。そのため、治療終了後には後戻りを防ぐための保定期間を設けています。この期間中は、後戻り防止用のリテーナーと呼ばれるマウスピース型の装置を装着していただきます。リテーナーの取り扱いや装着のルールについては、詳しく説明いたします。
PRICE
料金について
| カウンセリング | 無料 |
|---|---|
| シミュレーション・検査 | 無料 |
| インビザライン (フル) |
880,000円 |
| インビザライン (ライト)両顎 |
550,000円 |
| インビザライン (ライト)片顎 |
385,000円 |
| リテーナー | 77,000円 |
| ワイヤー (ラビアル) |
770,000円 |
| ワイヤー (ハーフリンガル) |
880,000円 |
| ワイヤー (フルリンガル) |
990,000円 |
| 小児矯正(1期+2期) | 770,000円 |
| プレオルソ | 110,000円 |
| 矯正用 アンカースクリュー |
33,000円 |
※チェック・調整料金無し
お支払方法
当院では現金のほか、振り込み、
クレジットカード、院内分割での
お支払いに対応しています。
-
現金
現金・振込での
お支払いが可能です。 -
クレジットカード
VISA、MASTER、
JCB、AMERICANEXPRESS
などが利用可能です。 -
院内分割
院内での分割払いが
可能です。
医療費控除について
医療費控除とは、1年間(1月1日~12月31日)に10万円以上の医療費を支払った場合に受けられる、一定金額の所得控除を指します。ご自身の支払いはもちろん、生計を共にするご家族さまが支払った医療費も対象となります。詳しくは国税庁のホームページをご覧ください。
Q&A
よくある質問
- 矯正治療は痛いという
イメージがありますが、
実際は痛いのでしょうか? 歯列矯正治療は痛みを伴いますが、耐えられないほどの痛みではありません。歯が押されて圧迫されることで痛いと感じ、痛みの感じ方には個人差があります。
痛みについて
- ● 矯正装置を装着してから3~6時間後くらいに痛みが始まり、装着した翌日が最も痛むことが多いです。
- ● 痛みは徐々に減少し、1週間ほどでほとんどの人は痛みがなくなります。
- ● 痛みの原因は歯の移動によるもので、歯が正しい位置に移動する過程で生じる痛みです。
- マウスピース矯正で
歯を抜くことはありますか? - 矯正治療ではワイヤー矯正やマウスピース矯正などの治療の手段に関わらず、歯並びや噛み合わせを改善するために歯を動かすスペースがない場合などに抜歯が必要になることも多いです。
- 頻繁にスポーツを行います。
矯正治療はできますか? - はい、スポーツをされている方でも安心して治療を受けられます。
マウスピース矯正は取り外しが可能なため、激しい運動やコンタクトスポーツを行う際には外していただけます。
また、ワイヤーやブラケットがないため、口腔内を傷つけるリスクも少なく、安全に治療を進められるのが特徴です。
- 他の人になるべくバレない
ように矯正したいのですが。 - 目立ちにくい矯正装置も多いですので是非一度ご相談にいらしてください。
- マウスピース矯正で対応できない歯並びはありますか?
- まずはマウスピース装置を24時間中に20時間以上付けられない方はマウスピースによる矯正治療に向いていません。
また、歯周病の方、顎の骨格に問題がある方、歯を大きく動かす必要がある場合はマウスピースによる矯正治療は難しい場合が多いです。
矯正をお考えの方は
お気軽にご相談ください
- カウンセリング
- 精密検査
- 簡易診断
- お気軽にお問い合わせください
-
お気軽にご予約・ご相談ください
電話で予約する
-
24時間WEB予約受付中
WEBで予約する
お電話・WEBにてご相談のご予約を受け付けています。
お気軽にお問い合わせください。
DOCTOR
ドクター挨拶
矯正で自信を持てる笑顔に
インビザライン認定医 | 統括理事
鳥居 誠悟 Seigo Torii
人生100年時代の到来により健康寿命を延ばすことがQOL(人生の質)の向上を意味すると言われております。私自身も医療と密接に係ることが自分自身及び大切な家族の健康を維持する秘訣だと感じております。
その中で歯が生える時期から将来歯を失わないためにかみ合わせや口腔状況をかかりつけ医に診てもらうことが非常に重要と考えております。そんな一生お付き合いできる歯科医院を目指していきたいと思います。
経歴
- 愛知学院大学歯学部 卒業
- 医療法人スワン会にて研修
- 医療法人岡本歯科 勤務
- 医療法人スワン会ゲートタワー歯科矯正歯科 勤務
- 医療法人育徳会磯村歯科 勤務
資格・所属学会
- 日本口腔インプラント学会所属
- インビザライン認定医
- 愛知学院大学歯学部口腔インプラント科研究生
- clubGP会員
- 歯科医師臨床研修医指導歯科医
矯正で自信を持てる笑顔に
矯正専門ドクター
越知 正博 Ochi Masahiro
経歴
- 愛知学院大学歯学部 卒業
- 歯科医師免許証 取得
- エスカ歯科・矯正歯科 常勤医師
- 岡崎エルエル歯科・矯正歯科
非常勤医師 - 名古屋みなと歯科・矯正歯科
非常勤医師 - 名駅アール歯科・矯正歯科
院長 就任 - 名駅アール歯科・矯正歯科
副理事長就任
資格・所属学会
- インビザライン 認定医
- WIN舌側矯正システム 認定医
CLINIC
院内紹介
注意点・リスク・副作用について
薬機法において承認されていない医療機器「インビザライン」「PBMヒーリング」について
当院が提供しているマウスピース矯正は「インビザライン」といいいます。
また、インビザラインのオプションの光加速治療として「PBMヒーリング」という装置を使用しています。
これらは薬機法(医薬品医療機器等法)においてまだ承認されていない装置となりますが、当院ではその有効性を認め、導入しています。
未承認医薬品等に該当
「インビザライン」「PBMヒーリング」は、薬機法における承認を得ていません。
「インビザライン」のアライナーを作製するための歯科矯正用レジン材料「SmartTrack(スマートトラック)」、「インビザライン」を作製するためのデジタル印象採得装置「iTero(アイテロ) エレメント」、歯科矯正用治療支援プログラム「クリンチェック・ソフトウェア」は、薬機法での承認を得ています。
入手経路等
「インビザライン」は、アメリカのアライン・テクノロジー社の製品です。当院ではこの治療システムを、インビザライン・ジャパン株式会社を通じて入手・利用しています。「PBMヒーリング」はカナダのバイオラックス・リサーチ社の製品です。薬機法における承認を得ていないため、当院では個人輸入にて入手・利用しています。
国内の承認医薬品等の有無
日本で「医療機器としての矯正装置」と認められるためには、「薬事承認されている材料を使用したもの」「薬事承認された既製品」でなければなりません。したがって、日本では「医療機器としての矯正装置」とは認められていません。「PBMヒーリング」については、同様の形態の製品は販売されていません。
諸外国における安全性等にかかわる情報
現在世界100カ国以上で提供され、これまでに1,500万人を超える患者さんが治療を受けられています(2024年3月時点)。情報が不足しているため、ここではインビザラインの諸外国における安全性等にかかわる情報は明示できません。今後重大なリスク・副作用が報告される可能性があります。「PBMヒーリング」は、EUで承認されている医療機器です。今後重大なリスク・副作用が報告される可能性があります。
なお、日本では完成物薬機法対象外の矯正装置であり、医薬品副作用被害救済制度の対象外となる場合があります。
※当該未承認医薬品・医療機器を用いた治療の広告に対する注意事項の情報の正確性について、本ウェブサイトの関係者は一切責任を負いません。
「インビザライン」(マウスピース型矯正装置)・PBMヒーリングによる治療のリスク・副作用
・インビザライン・PBMヒーリングは薬機法(医薬品医療機器等法)においてまだ承認されていない医療機器です。日本では完成物薬機法対象外の装置であり、医薬品副作用被害救済措置の対象外となることがあります。
・最初は矯正装置による不快感、痛みなどがありますが、数日から1~2週間で慣れることが多いです。
・歯の動き方には個人差があるため、治療期間が予想より長期化することがあります。
・お口の中の状態によっては、治療計画どおりの結果が得られないことがあります。
・正しい装着方法で1日20時間以上使用しないと、目標とする治療結果が得られないことがあるため、きちんとした自己管理が必要になります。
・治療によって、まれに歯根吸収や歯肉退縮が起こることがあります。
・治療途中で、ワイヤーを使う治療への変更が必要になることがあります。
・治療完了後は後戻りを防ぐため、保定装置の装着が必要になります。