お子さまの成長をサポート
負担の少ない矯正治療
こんなお悩みはありませんか?
- 子どもの歯並びが悪く、
このままにしていいのか心配 - 学校で装置が目立ってしまい、
からかわれないか気になる - 装置を付けても普段通り
食事やおやつを楽しめるか不安 - 装置をきちんとつけられるか、
子どもが嫌がらないか心配 - 矯正中に虫歯になりやすくならないか不安
- 習い事が忙しく通院の
スケジュールが合うか心配 - 金属アレルギーがあるので不安
小児矯正をお考えの方は
お気軽にご相談ください
- カウンセリング
- 精密検査
- 簡易診断
- お気軽にお問い合わせください
-
お気軽にご予約・ご相談ください
電話で予約する
-
24時間WEB予約受付中
WEBで予約する
お電話・WEBにてご相談のご予約を受け付けています。
お気軽にお問い合わせください。
FEATURES
当院の矯正治療
FEATURE 01.
歯並びが悪くなってしまった
原因から治す治療
歯並びが悪い原因は呼吸や姿勢、癖などの後天的要因がほとんどです。その原因をしっかりと解明し根本的に治す治療を致します
FEATURE 02.
充実した最新鋭の設備
当院では、歯科用CTやお口の中をスキャンできるデジタル機器(iTero)を使って、より正確で詳しい検査が可能です。立体的なデータで、目に見えない部分までしっかり確認できます。
FEATURE 03.
女性歯科医師在籍で、
お子さまも安心
小さなお子さまの中には、歯医者さんが苦手な子も少なくありません。
当院では、女性歯科医師がやさしく声をかけながら診療を行い、怖がりや人見知りのお子さまでも安心して矯正治療を受けられるようサポートしています。
FEATURE 04.
カウンセリングには
じっくり時間をとります
患者様とのカウンセリングには1時間ほど時間をかけてじっくりとお話を聞いています。
お口周りのお悩みはもちろん、治療への不安や治療費に関するご相談など、どんなことでもかまいませんのでカウンセリングの際にはお気軽にお伝えください。
FEATURE 05.
ママ・パパも安心、
無理なく続けられる
お子さまの矯正治療は、通いやすさも大切にしています。
当院は土曜も診療を行っておりますので、平日はお忙しい保護者の方でも無理なくご来院いただけます。
-
土曜も18時まで診療
-
夜19時半まで診療
-
駐車場10台
COMPARISON
矯正装置の比較
小児矯正装置の種類
| マウスピース矯正 | ワイヤー矯正 | 拡大床 | プレオルソ | |
|
|
|
|
|
| 目立ちにくさ |
◎ 薄く透明な |
△ 白色や透明の |
△ 装置が大きめで |
◎ 透明なプレートで |
| 対応できる 症例の幅 |
○ 歯並びの |
◎ ほとんどの歯並びに |
◎ ほとんどの歯並びに |
◎ ほとんどの歯並びに |
| 取り外し |
◎ 自分で簡単に |
× 自分で取り外し |
⚪︎ 簡単に取り外しが |
◎ 自分で簡単に |
| 金属アレルギー |
◎ 金属不使用なので |
△ 金属製装置を |
◎ 金属不使用なので |
◎ 金属不使用なので |
| 痛み |
◎ 痛みや違和感が |
○ 痛みや違和感を伴う |
◎ 痛みや違和感が |
◎ 痛みや違和感が |
| 通院の間隔 |
1~3ヵ月に1回 |
月に1回 |
1〜3か月に1回 |
1〜3か月に1回 |
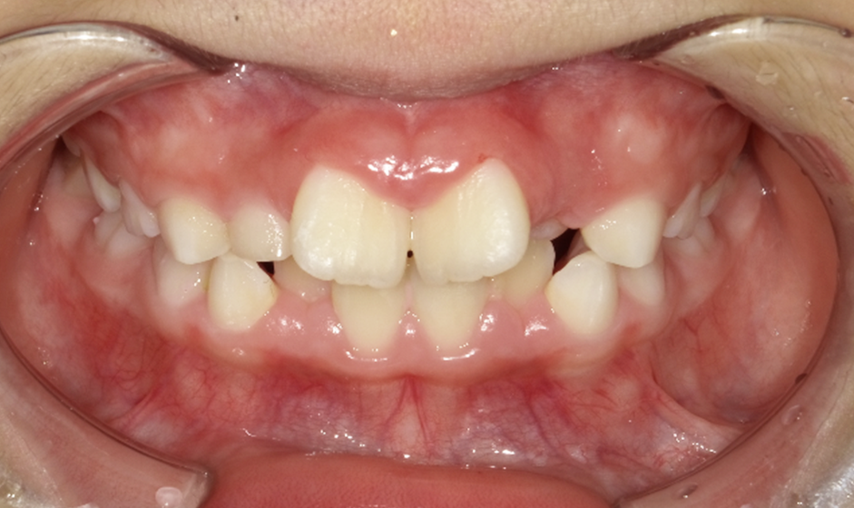
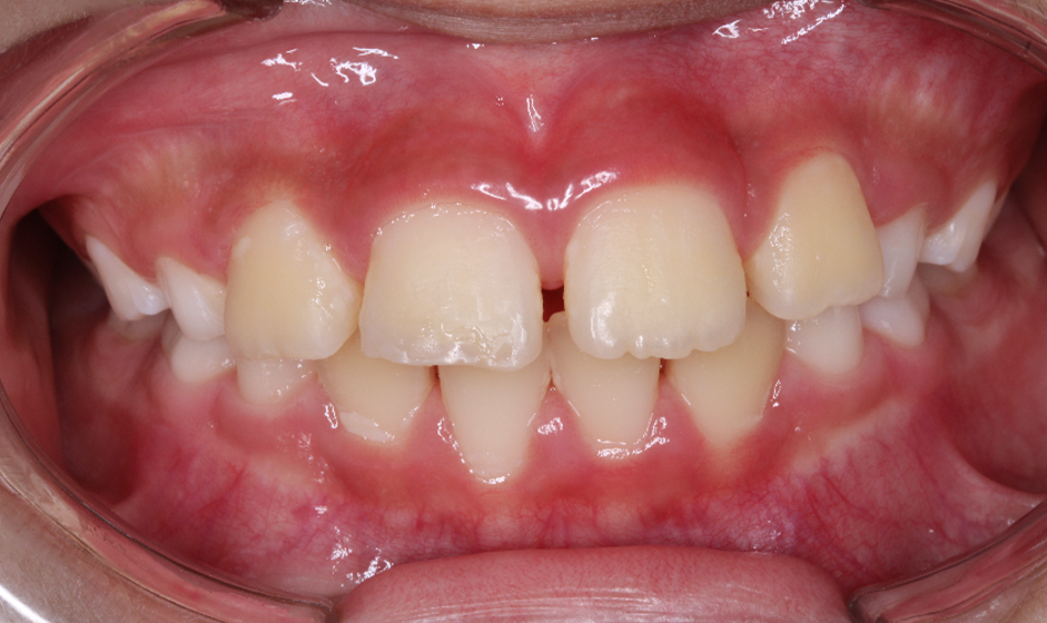
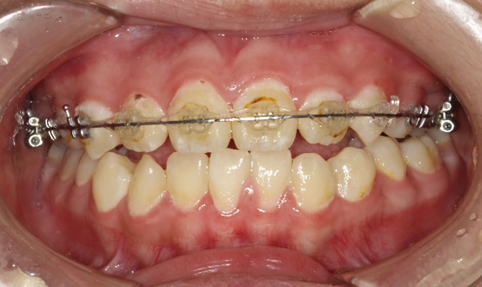
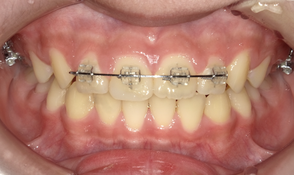
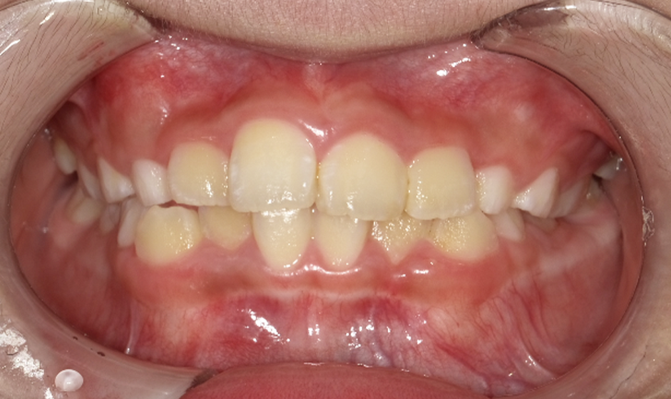
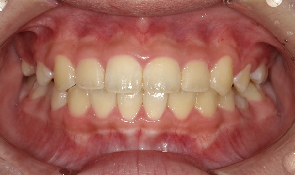
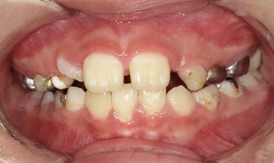
CASE01
症例紹介
MERIT
小児矯正の4つの
メリット
-

01 成長を活かせる
成長期のあごの発達を利用して、無理のない矯正が可能です。自然な力で歯並びや骨格を整えられます。
-

02 将来の負担を
減らせる早めに治すことで、将来的な抜歯や大がかりな治療を防げます。永久歯が正しい位置に生えるよう導きます。
-

03 正しい機能を育てる
かむ・話す・呼吸するなど、お口の基本機能を正しく育てます。健やかな全身の発育にもつながります。
-

04 悪習慣を改善できる
指しゃぶりや口呼吸、舌の使い方など、歯並びに影響する習慣を早期に改善できます。
こんなお口の歯並びに
対応できます
小児矯正では、成長期の顎や歯の発育を活かして、さまざまな歯並びや噛み合わせに対応できます。
豊富な症例実績に基づき、お子さま一人ひとりに合わせた柔軟な治療プランをご提案します。
-
ガタガタ
-
出っ歯
-
下顎が出ている
-
すきっ歯
-
噛み合わせの
ズレ -
噛み合わせが
深い -
口が閉じない
矯正をお考えの方は
お気軽にご相談ください
- カウンセリング
- 精密検査
- 簡易診断
- お気軽にお問い合わせください
-
お気軽にご予約・ご相談ください
電話で予約する
-
24時間WEB予約受付中
WEBで予約する
お電話・WEBにてご相談のご予約を受け付けています。
お気軽にお問い合わせください。
FLOW
小児矯正治療の流れ
-
1
無料カウンセリング
歯並びにお悩みの方や矯正治療を検討している方は、まずお気軽に無料相談をご利用ください。矯正治療に詳しい歯科医師やコンサルタントが丁寧に説明し、さまざまな質問にお答えします。また、治療にかかる期間や費用などをご説明いたします。
-
2
精密検査
診療計画の作成に必要な情報を収集するため、精密検査を実施します。パノラマレントゲンや頭部専用のセファロレントゲン、短時間で精密な型取りができる口腔内スキャナーなどの先端機器を使用して、患者さんの状態を詳細に把握します。その後、治療の開始から終了までを緻密にシミュレーションします。
- レントゲン診断
- 口腔内スキャン
- 口腔内診査
-
3
診療・治療計画の説明
必要な治療内容や計画について丁寧にご説明いたします。治療にご理解をいただきましたら矯正治療を開始します。1ヵ月に1度を目安にご来院いただき、装置やお口の状態を確認します。予防矯正の場合は、アクティビティルームで一緒にトレーニングを行い、理想的な歯並びを目指します。
-
4
治療開始
カウンセリングの内容と精密検査の結果をもとに、インビザライン認定医の資格を持つ歯科医師が治療計画を作成します。患者さんへの説明の際には、治療期間や費用についてもできるだけわかりやすく丁寧に説明しますので、ご不明点や気になることがあれば、遠慮なくお尋ねください。
-
5
保定期間
矯正治療で移動した歯は、時間が経つと後戻りする可能性があります。そのため、治療終了後には後戻りを防ぐための保定期間を設けています。この期間中は、後戻り防止用のリテーナーと呼ばれるマウスピース型の装置を装着していただきます。リテーナーの取り扱いや装着のルールについては、詳しく説明いたします。
PRICE
料金について
予防矯正
| プレオルソ | 110,000円 |
|---|
1期矯正(6歳〜12歳)
| 1期小児矯正 | 385,000円 |
|---|
装置代
| インビザラインファースト | 385,000円 |
|---|---|
| ワイヤー矯正 | 440,000円 |
矯正開始前初期費用
| カウンセリング | 無料 |
|---|---|
| シミュレーション・検査 | 11,000円 |
2期矯正
(小学生高学年〜中学生)
| 2期小児矯正 | 385,000円 |
|---|
装置代
| インビザラインファースト | 385,000円 |
|---|---|
| ワイヤー矯正 | 440,000円 |
矯正開始前初期費用
| カウンセリング | 無料 |
|---|---|
| シミュレーション・検査 | 11,000円 |
※チェック・調整料金無し
お支払方法
当院では現金のほか、振り込み、
クレジットカード、院内分割での
お支払いに対応しています。
-
現金
現金・振込での
お支払いが可能です。 -
クレジットカード
VISA、MASTER、
JCB、AMERICANEXPRESS
などが利用可能です。 -
院内分割
院内での分割払いが
可能です。
医療費控除について
医療費控除とは、1年間(1月1日~12月31日)に10万円以上の医療費を支払った場合に受けられる、一定金額の所得控除を指します。ご自身の支払いはもちろん、生計を共にするご家族さまが支払った医療費も対象となります。詳しくは国税庁のホームページをご覧ください。
Q&A
よくある質問
- 何歳から始めるのが良いですか?
一般的には5~10歳頃からが目安です。顎や歯の成長段階を見ながら、最適なタイミングで開始します。
- 装置を嫌がる場合はどうすればいいですか?
- お子さまの年齢や性格に合わせて無理のない装着方法をご案内します。少しずつ慣れてもらうことで、負担を減らせます。
- 食事や習い事に制限はありますか?
- ワイヤー矯正の場合は硬いものや粘着性のあるものに注意が必要ですが、マウスピース型矯正ならほとんど制限はありません。
- 治療期間はどのくらいですか?
- 個人差がありますが、第一期矯正は半年~2年程度、第二期矯正は1~3年程度が目安です。
- 永久歯が生えそろっていなくても治療できますか?
- はい。乳歯と永久歯が混在している時期に行うことで、歯が正しく生えるスペースを確保しやすくなります。
小児矯正をお考えの方は
お気軽にご相談ください
- カウンセリング
- 精密検査
- 簡易診断
- お気軽にお問い合わせください
-
お気軽にご予約・ご相談ください
電話で予約する
-
24時間WEB予約受付中
WEBで予約する
お電話・WEBにてご相談のご予約を受け付けています。
お気軽にお問い合わせください。
DOCTOR
ドクター挨拶
矯正で自信を持てる笑顔に
インビザライン認定医 | 統括理事
鳥居 誠悟 Seigo Torii
人生100年時代の到来により健康寿命を延ばすことがQOL(人生の質)の向上を意味すると言われております。私自身も医療と密接に係ることが自分自身及び大切な家族の健康を維持する秘訣だと感じております。
その中で歯が生える時期から将来歯を失わないためにかみ合わせや口腔状況をかかりつけ医に診てもらうことが非常に重要と考えております。そんな一生お付き合いできる歯科医院を目指していきたいと思います。
経歴
- 愛知学院大学歯学部 卒業
- 医療法人スワン会にて研修
- 医療法人岡本歯科 勤務
- 医療法人スワン会ゲートタワー歯科矯正歯科 勤務
- 医療法人育徳会磯村歯科 勤務
資格・所属学会
- 日本口腔インプラント学会所属
- インビザライン認定医
- 愛知学院大学歯学部口腔インプラント科研究生
- clubGP会員
- 歯科医師臨床研修医指導歯科医
CLINIC